Cum oprești eroziunea dinților

Deteriorarea smalțului dentar îți expune dinții la un risc crescut de apariție a cariilor. Această deteriorare apare în mod natural, odată cu vârsta, dar este întâlnită și la pacienții tineri, ca urmare a acțiunii diverșilor factori favorizanți.
Poți stopa eroziunea dinților, urmând o rutină regulată și corectă de îngrijire orală.
Smalțul dentar este prima linie de apărare a dinților împotriva cariilor dentare. Te vom învăța, în cele ce urmează, cum să îți menții dinții în afara zonei de pericol de deteriorare a smalțului și să îi păstrezi puternici.
Folosește o pastă de dinți și o apă de gură cu fluor

Paste de dinți cu fluor este special formulată pentru a curăța zona din jurul liniei gingivale, pentru gingii dovedite clinic mai sănătoase, care pot ajuta la menținerea unei baze puternice pentru dinții tăi.
Periajul ce vizează linia gingiei neutralizează bacteriile din placa dentară care produc toxine ce au potențialul de a descompune smalțul. S-a dovedit că pasta de dinți cu fluor ajută la repararea smalțului slăbit.
Unele paste de dinți conțin ingrediente remineralizante, pentru a spori calitatea smalțului dinților și se atașează de smalțul dinților, formând un scut micro-subțire ce protejează dinții.
Prin adăugarea apei de gură la rutina de îngrijire orală care conține fluor, te protejezi împotriva cariilor din zonele greu accesibile și ajuți la neutralizarea acelor bacterii din placa dentară care pot slăbi smalțul.
Periază-ți dinții și utilizează ața dentară în mod regulat

Medicii stomatologi recomandă spălarea dinților cel puțin de două ori pe zi, împreună cu folosirea aței dentare zilnic, pentru a ajuta la promovarea sănătății orale.
Este indicat să folosești o periuță de dinți cu peri moi, rotunzi, care îndepărtează eficient placa bacteriană, dar sunt blânzi cu smalțul.
Cum se repară smalțul dinților?
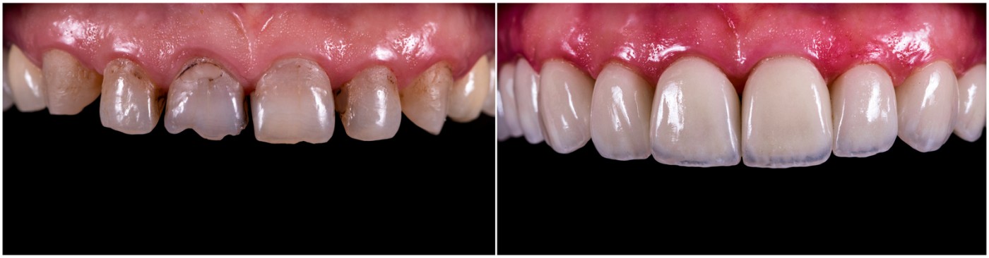
Odată ce eroziunea dinților și-a făcut simțită prezența în mod vizibil, deși smalțul nu poate fi înlocuit, medicii stomatologi pot oferi un pic de asistență în repararea smalțului uzat. Există două modalități principale de a trata dinții afectați de eroziunea dentară:
- Fațete dentare: Fațetele dentare se aplică direct pe dinte, prin adeziune, mascând imperfecțiunile smalțului dentar.

- Coroane dentare: Pot fi aplicate pe dinți în cazuri mai grave de eroziune. Această procedură implică șlefuirea dintelui și acoperirea sa cu o coroană, care va proteja zonele deteriorate. Acest tratament restaurator va restabili nu doar estetica, ci și funcția dintelui deteriorat, permițându-ți să mănânci și să bei fără durere. De asemenea, va proteja dintele de cariere.
Sfaturi pentru protejarea dinților
Poți reduce eroziunea dinților, eliminând cauzele legate de alimentație, urmând aceste sfaturi:
- Așteaptă o oră înainte de a realiza igiena orală, după ce ai mâncat alimente acide, pentru a da salivei șansa de a spăla în mod natural acizii și a întări smalțul dinților.
- Limitează sau evită băuturile acide, cum ar fi băuturile răcoritoare.
- Atunci când consumi o băutură acidă, nu menține lichidul în cavitatea orală mai mult decât trebuie. Pentru limitarea deteriorării smalțului, utilizează paiul.
- După mese sau consumul de băuturi acide, clătește-ți gura cu apă, bea lapte sau savurează o gustare bogată în calciu imediat după aceea. Lactatele și alte alimente bogate în calciu pot ajuta la neutralizarea acizilor.
- Saliva ajută la menținerea acizilor sub control. Pentru a menține o cantitatea normală de salivă și a-ți proteja dinții, mestecă gumă fără zahăr.
Te așteptăm la Stelidental, pentru a discuta cu unul dintre medicii noștri stomatologi.
Îți vom explica efectele alegerilor nutriționale asupra dinților, inclusiv diversele alimente și băuturi pe care să le alegi, dar și pe care să le eviți. Faptul că te menții informat asupra efectelor pe care nutriția le are asupra dinților tăi, te va ajuta să-ți menții zâmbetul strălucitor pe tot parcursul vieții.

Lasă-ne un comentariu